Može se koristiti u obimnim istraživanjima, za razvijanje personalizovanijih liječenja povreda glave, i, uz dalja potvrđivanja u kliničkim ustanovama, može biti od koristi u slučajevima kada su stručnjaci prezauzeti.
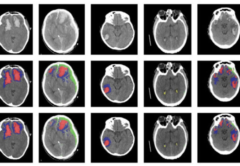
U saradnji sa Univerzitetom Kembridža, naučnici na Imperijalnog kodedža London su pronašli algoritam vještačke inteligencije (VI) za prepoznavanje različitih tipova povreda mozga. Osim toga, ovaj algoritam može da: otkrije, raščlani, izmjeri i napravi razliku između vrsta lezija mozga, koristeći slike računarske tomografije (engl. computer tomography – CT).
Pomoću ovog algoritma VI, naučnici se nadaju automatizaciji dijagnoze različitih tipova povreda, kako bi se u budućnosti mogle dobiti smjernice za liječenje.
Iako se VI trenutno koristi za istraživanje, uz odgovarajuću provjeru i odobrenje, mogla bi se koristiti i u kliničkim slučajevima, poput područja sa ograničenim resursima, gjde ima malo radiologa.
Viši koautor, profesor David Menon sa Univerziteta Kembridža, navodi: “CT je izuzezno važan alat za dijagnozu, ali se rijetko upotrebljava kvantitativno. Često se veliki dio bogatih podataka sa skeniranja CT-a propusti, i kao istraživači, znamo da su: vrsta, veličina i mjesto lezije na mozgu važne za stanje pacijenta”.
Naučnici sa Imperijalnog koledža su napravili alat mašinskog učenja, na osnovu vještačke neuralne mreže.
Pripremali su alat na više od 600 raznolikih skeniranja CT-a, na kojima su moždane povrede raznih veličina i vrsta, prije nego što su provjerili alat na ogromnom skupu podataka skeniranja CT-a.
Pored ovoga, VI takođe može i da razvrsta pojedine djelove svake slike, i pokaže da li su poznati ili ne.
Prema riječima naučnika, ovo može biti korisno za buduća istraživanja o napredovanju povreda glave. Dodatno, moglo bi omogućiti istraživačima da riješe važna pitanja kliničkih istraživanja, na koja je ranije bilo teško odgovoriti, uključujući određivanje bitnijih osobina prognoziranja, što zauzvrat može pomoći u odabiru terapija.
Doktorant Migel Monteiro, prvi koautor istraživanja sa Računarstva na Imperijalnom koledžu, rekao je: “Uzbudljivo je to što možemo direktno da doprinesemo važnim pitanjima iz kliničkih istraživanja algoritmima koje razvijamo, nagrada je po sebi vidjeti da naš rad može da poboljša njegu pacijenata”.
Viši koautor, dr Ben Gloker, takođe sa Računarstva na Imperijalnom koledžu, rekao je: “Ovo istraživanje je odličan primjer kako bliska saradnja između inženjerskih i medicinskih nauka može dovesti do stvarnog uticaja”.
“VI u zdravstvu ima mnogo potencijala, i tek smo na početku uvođenja ove tehnologije u medicinsku praksu. Osigurati zajedničko suočavanje sa pravim problemima, uz pažljivu kliničku provjeru, je ključ”.
Njihov naučni rad možete pročitati ovdje.
Izvor: techexplorist.com

